
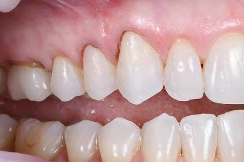
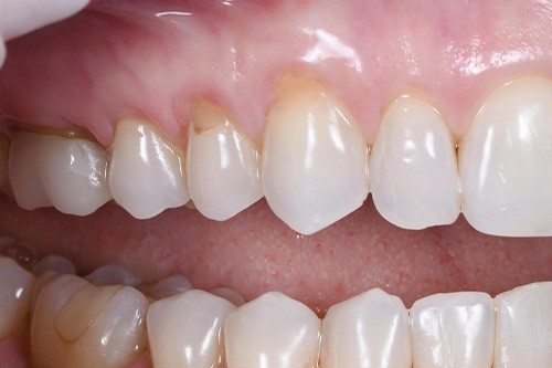
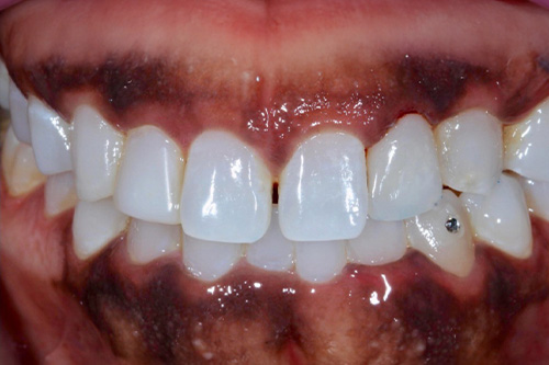
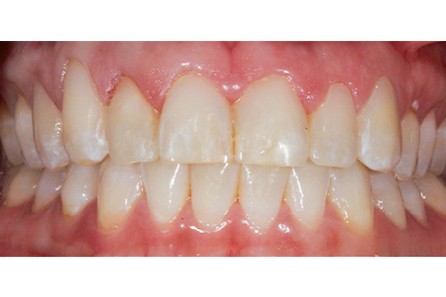
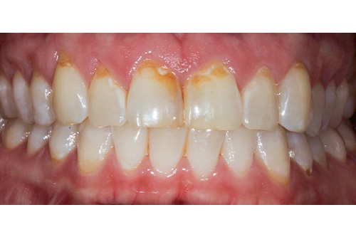
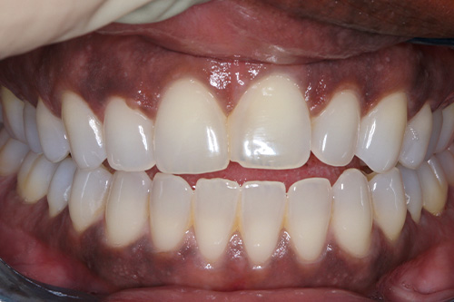
At Atlanta Dental Spa, we don't just treat smiles; we transform them. A smile makeover is more than a cosmetic upgrade; it's a life-changing journey to confidence, beauty, and health.
What comprises a smile makeover? It's a tailored blend of advanced dental procedures and artistic finesse, featuring veneers, state-of-the-art crowns, implants, and bridges.
Our approach to smile makeovers is meticulous and personalized. We carefully select treatments that align seamlessly with your natural tooth color and structure, ensuring a harmonious and stunning result. This isn't a fleeting change but a lifelong enhancement to your appearance and well-being.
Dr. Peter Boulden and our team of experts at Atlanta Dental Spa are committed to excellence. Our process is rooted in care and professionalism, with your happiness as our guiding principle. What value can you place on a smile that radiates confidence and joy? It's beyond measure.













































































































































































































