Atlanta Dental Spa represents everything “going to the dentist” is not. We have upgraded your dreaded dentist appointment and transformed it into a relaxing and pampering wellness visit.
Our mission is to deliver the highest quality care, unprecedented comfort, and service. We’re committed to delivering the very best results for you, whether it’s creating the perfect smile, reconstructing your entire mouth, or helping you achieve total wellness.
Smiles Transformed
Years Combined Doctor Experience
5-Star Reviews
Years of Stellar Service in Atlanta



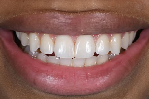
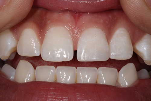
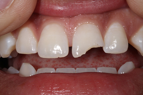
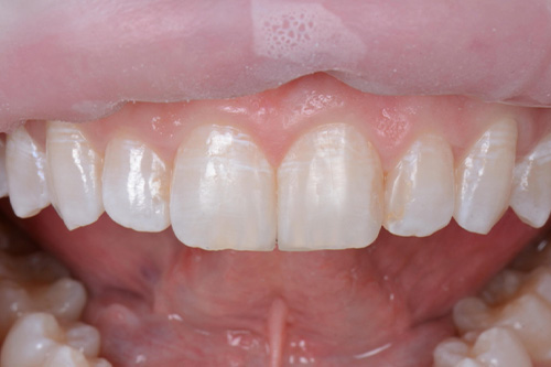
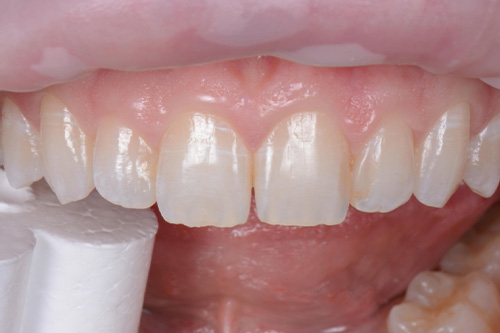
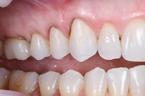
When we change a smile, we’re really transforming someone’s confidence and overall oral health. Take a look at a few of these incredible before and afters!

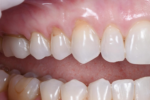
Atlanta Dental Spa has transformed thousands of smiles and placed tens of thousands of veneers. We use science, experience, skill, and art to make sure every case is a perfect 10!
No-prep means we don’t have to drill your teeth or reduce your tooth surface to fit the veneers to your smile.
Dental bonding is the use of white, tooth-colored composite filling material to fill, repair, or make minor aesthetic improvements to a tooth.
With a combination of artistry, science, and technology, we take mouths that have been worn down through years of clenching, grinding, and other destructive processes, and we rebuild them back to how Mother Nature intended them to be.
Teeth whitening is by far the most popular cosmetic dental procedure. Dental whitening procedures fit within almost any budget and the results are quick.
Atlanta Dental Spa is among the top 1% of Invisalign Providers in the U.S.! Overall, Invisalign offers distinct advantages over conventional metal braces. They are more comfortable than metal braces, pose fewer risks to teeth and gums, and provide beautiful smiles much faster.
Atlanta Dental Spa can erase your wrinkles and alleviate your jaw pain with Botox!
A gum lift or gum contouring procedure involves gently removing excess gum tissue by contouring and shaping the “gummy” section of your smile. The result is a much bigger, whiter, and more gorgeous smile.

Implants are a versatile and long-lasting approach for tooth replacement and denture support.
Our crowns have no metal. Nothing replicates natural enamel and dentin better than porcelain. Atlanta Dental Spa also takes great pride in producing bridges that look natural and are highly functional.
At Atlanta Dental Spa, we give people a denture that’s indistinguishable from natural teeth, including the gums.

We love doing cleanings for our patients and their families. In fact, we don’t just love it, we are really good at it. We deliver the highest quality in everything we do.
Dental Inlays and Onlays are porcelain fillings that are alternatives to crowns. When a tooth is cracked, or an old amalgam filling is leaking or failing, an inlay or onlay is an ideal way to restore the tooth.
In case of emergency, we have staff members on-call so we can provide the help you need.
We routinely help our patients reduce and eliminate discomfort from TMD, migraines, and headaches. Some of our patients are now headache free after decades of suffering.

All-On-X is clearly a better choice for an implant supported fixed bridge. We place 6 implants on each arch of your mouth. Many places only place 4 implants (to cut costs). More implants equals more long term stability.
Dental anxiety is an all too real problem for many. Our aim is to make your visit as comfortable and stress-free as possible. We have a full range of sedation options, including oral pills, IV sedation, and nitrous oxide.
When you hear you have to have your wisdom teeth taken out, it doesn’t sound like good news, but Atlanta Dental Spa makes it easy!







Request your appointment at Atlanta Dental Spa. Convenient locations in Buckhead, Johns Creek, Highlands, East Cobb, and Brookhaven.
